top of page
muli230430_fb_04.jpg

CASE INTRODUCTION

案例介紹

外側陶瓷美觀矯正

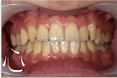
Before
After
療程費用 : 
​​療程時間 :
治療醫師:​
陳政瑋.JPG

陳政瑋 醫師

案例故事 :

病患覺得自己「牙亂」排列不整齊、「咬合不正」以及下排牙齒「錯咬」的問題。

 

​醫師的觀點 : 

由於牙齒排列擁擠導致部分牙齒呈現錯咬,利用矯正將牙齒排列整齊,改善患者在意的牙齒「中線對齊」。現在病患能夠很大方的開懷大笑、給予我們充滿自信的笑容!
       

                       此案例病患利用「陶瓷美觀外側」牙套矯正治療,過程中沒有過多的不適感,也讓矯正變成日常的一部分,患者十分滿意治療的結果,「樂心牙醫診所」也為患者開心!

聯絡方式

地址:桃園市龜山區龍鳳街21

電話:+886(0)2-8200-8696

Line : @olj424lt

門診時間

週一至週六

診09:00-11:30

午診13:00-16:30

晚診17:30-20:30

每週日休診

  • 白色的Facebook圖標
  • 白色的Instagram圖標
  • 白色的YouTube圖標

Copyright© 2022 Luxindental All Rights Reserved.

bottom of page