top of page



CASE INTRODUCTION
案例介紹
舌側隱形矯正器案例
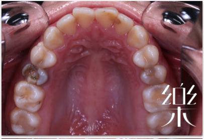
Before






1/1
After






1/1
療程費用 :
療程時間 :
治療醫師:
案例故事 :
病患在意牙齒暴牙,以及覺得嘴唇比較外突,也希望能改善看起來不健康漂亮的牙齒,藉由朋友的介紹而找到陳醫師。
醫師的觀點 :
比較高難度的是大臼齒的空間用舌側矯正治療關閉,需要各方面評估條件都有一定的標準才能達成; 齒槽骨的條件、缺牙區前後牙的條件、患者時間的配合、醫師力學的分析等等。
除了暴牙的問題,臨床診斷發現患者前牙有開咬咬不到的狀況,也因為工作上面有高度的美觀要求,經過與醫師的討論之後,選擇了舌側隱形矯正治療;在忙於認真工作的情形之下也能擁有讓牙齒慢慢變美的魔力!這是散發自信光彩的笑容啊!
此案例病患利用舌側隱形矯正器矯正治療,矯正治療的過程中也能放心的開懷大笑,患者十分滿意的治療結果,過程沒有過度的不適,清潔也不複雜,進食也不受影響,患者滿意歡喜,樂心牙醫診所也為患者開心!
bottom of page









