top of page
muli230430_fb_04.jpg

CASE INTRODUCTION

案例介紹

隱適美隱形牙套矯正

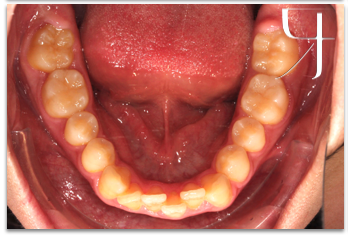
Before
After
療程費用 : 
​​療程時間 :
治療醫師:​
陳政瑋.JPG

陳政瑋 醫師

案例故事 :

病患覺得自己的牙齒排列不整齊、擁擠,在吃東西以及清潔的時候無法清潔乾淨,而造成困擾,在高一的時候來找陳醫師矯正,後來病患在與媽媽討論之後,為了避免傳統矯正帶來的不適感以及不方便清潔而造成蛀牙,故選擇方便清潔、比較舒適的隱適美隱形牙套矯正;讓隱適美成為病患生活的一部分。

 

​醫師的觀點 : 

一般高中生年齡來找陳醫師做矯正的患者為數眾多,醫師會配合臉部外型、頭骨發育等基本面向先做評估,其次針對牙齒排列與臉部的相對位置等問題進一步評估。藉由隱形矯正的方式,將牙齒排列整齊;由於隱適美可以一至兩個月回診一次,也能節省在課業壓力較大時的回診時間。現在病患能夠很大方的開懷大笑、給予我們充滿自信的笑容!
       

                       此案例病患利用隱適美隱形牙套矯正治療,讓隱適美成為生活的一部分,也讓矯正變成一件輕鬆方便的事情,患者十分滿意治療的結果,樂心牙醫診所也為患者開心!

聯絡方式

地址:桃園市龜山區龍鳳街21

電話:+886(0)2-8200-8696

Line : @olj424lt

門診時間

週一至週六

早診09:00-11:30

午診13:00-16:30

晚診17:30-20:30

每週日休診

  • 白色的Facebook圖標
  • 白色的Instagram圖標
  • 白色的YouTube圖標

Copyright© 2022 Luxindental All Rights Reserved.

bottom of page