top of page
muli230430_fb_04.jpg

CASE INTRODUCTION

案例介紹

外側陶瓷美觀矯正

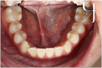
Before
After
療程費用 : 
​​療程時間 :
治療醫師:​
陳政瑋.JPG

陳政瑋 醫師

案例故事 :

病患和媽媽覺得牙齒排列不整齊看起來很亂,除了有小虎牙之外​,也覺得下巴歪歪的,側面看起來還會覺得下巴比較往前頃,希望能藉由矯正的方式改善。

​醫師的觀點 : 

一般高中生年齡來找陳醫師做矯正的患者為數眾多,醫師會配合臉部外型、頭骨發育等基本面向先做評估,其次再針對牙齒排列與臉部的相對位置等問題進一步評估。下巴歪斜的清況每個人都會有,在不是非常明顯的情況前提下,將牙排列整齊的同時骨頭會稍微被調整一點;現在病患能夠很大方的開懷大笑、給予我們充滿自信的笑容!
       

                       此案例病患利用外側陶瓷美觀矯正器矯正治療,在唸書的年紀矯正,雖然忙碌辛苦一點,但甜美的果實總是在一番努力後更加鮮甜;患者與家長十分滿意治療的結果,樂心牙醫診所也為患者開心!

聯絡方式

地址:桃園市龜山區龍鳳街21

電話:+886(0)2-8200-8696

Line : @olj424lt

門診時間

週一至週六

早診09:00-11:30

午診13:00-16:30

晚診17:30-20:30

每週日休診

  • 白色的Facebook圖標
  • 白色的Instagram圖標
  • 白色的YouTube圖標

Copyright© 2022 Luxindental All Rights Reserved.

bottom of page